To Print: Click your browser's PRINT button.
NOTE: To view the article with Web enhancements, go to:
http://www.medscape.com/viewarticle/518465


Case Files From Stanford University Medical Center: The Initial Presentation of HIV-1 Infection -- Where Public and Personal Health Meet

Minghsun Liu, MD, PhD; Mark Holodniy, MD; Andrew R. Zolopa, MD; Robert W. Shafer, MD
Series editor: Robert W. Shafer, MD

Medscape General Medicine.  2006;8(1):24.  ©2006 Medscape
Posted 01/26/2006

Editor's note: This is the first in a series of case studies from the Division of Infectious Diseases at Stanford University Medical Center. This series will examine optimization of antiretroviral therapy in a treatment-experienced patient with HIV, or in a treatment-naive patient with a particularly challenging initial presentation.

Robert W. Shafer, MD, is the editor of this series. Dr. Shafer is an Associate Professor in the Division of Infectious Diseases at Stanford University Medical Center. He is an expert on the management of HIV infection, with a particular focus on antiretroviral drug resistance mechanisms and testing.

Case Patient

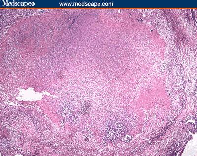
A 43-year-old man presented to a Veterans Administration (VA) hospital clinic with diffuse lymphadenopathy of several weeks' duration. An inguinal lymph node biopsy showed spindle-cell proliferation with moderate atypia, extravasated RBCs, and hyaline bodies. Immunohistochemical stains for CD31, CD34, and HHV-8 were positive consistent with a diagnosis of Kaposi's sarcoma (KS). (Figure 1).

Figure 1. 

Inguinal lymph node biopsy from HIV-infected man with Kaposi's sarcoma.

     

An HIV-1 serologic assay was positive. The patient transferred his care to the VA Palo Alto Health Care System for antiretroviral (ARV) therapy and treatment of KS. The patient was homosexual and had a history of herpes zoster 1 year earlier but had never undergone serological testing for HIV-1. The patient knew that he was at risk for HIV-1 but had neither sought HIV-1 testing nor had it offered to him prior to his presenting illness.

At his first clinic visit, the patient had bilateral firm 1-cm posterior cervical and inguinal lymph nodes, five 0.5-cm raised purplish lesions on his chest, abdomen, and back, and a single 2-cm palatal lesion. The CD4+ cell count was 289 cells/mcL (16% CD4+ lymphocyte percentage); plasma HIV-1 RNA level was 177,000 copies/mL; and a genotype revealed no drug-resistance mutations. KS chemotherapy was withheld pending a trial of ARV therapy and the patient was treated with tenofovir, emtricitabine, and efavirenz.

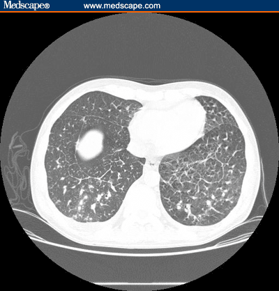
The patient returned to clinic 4 weeks later with a 1-week history of fever, dyspnea on exertion, cough, and diarrhea. The patient was febrile with a temperature of 38.3° C. There were several new cutaneous lesions and the palatal lesion had increased to 3 x 4 cm2. The plasma HIV-1 RNA level had decreased to 800 copies/mL and the CD4+ cell count increased to 320 cells/mcL. A chest radiograph and CT scan were performed (Figures 2a and 2b).

Figure 2a. 

Chest radiograph of HIV-infected man with Kaposi's sarcoma.

     

Figure 2b. 

Chest CT scan of HIV-infected man with Kaposi's sarcoma.

     

Other laboratory abnormalities included a hematocrit of 19.8% and a platelet count of 45,000/mcL. The patient was admitted and underwent bronchoscopic examination, which revealed multiple raised vascular lesions consistent with KS throughout the tracheobronchial tree. A bone marrow biopsy revealed plasma cell dyscrasia without obvious monoclonality or hyperplasia of red cell precursors. The anemia and thrombocytopenia were poorly responsive to transfusion. Extensive work-up of the pulmonary lesions and hematologic manifestations revealed no HIV-1-related opportunistic infection or complication other than KS.

The patient was treated with a course of liposomal doxorubicin for KS and prednisone at 1 mg/kg orally once daily for possible immune reconstitution inflammatory syndrome (IRIS) and idiopathic thrombocytopenic purpura (ITP). He also received a course of intravenous immunoglobulin (IVIG) and multiple red blood cell and platelet transfusions for anemia and ITP. His hematocrit and platelet counts stabilized at 24% and 78,000/mcL, respectively, and he was no longer transfusion-dependent. He was discharged on his ARV regimen and prednisone at 1 mg/kg with a plan to continue the liposomal doxorubicin every 21 days. The patient, however, moved to his original home state and within several days presented to a local hospital with fever and respiratory failure. He declined intubation and died within 5 days of admission and nearly 3 months after his initial presentation. No immediate cause of death was determined, and postmortem examination was not performed.


Readers are encouraged to respond to George Lundberg, MD, Editor of MedGenMed, for the editor's eye only or for possible publication via email: glundberg@medscape.net

Discussion

When the patient was hospitalized with pulmonary KS, the physicians involved in his care disagreed as to whether the rapid progression of KS reflected KS-associated IRIS or rapidly progressive KS unaffected by ARV therapy. There have been 2 recent case series of possible KS-associated IRIS.[1,2] However, in both studies, the diagnosis was strictly clinical -- a worsening of KS despite an increased CD4+ cell count. However, all of the patient's physicians agreed that the safest course of action was to treat the patient for KS and for possible KS associated with IRIS. It was also agreed to continue ARV therapy because ARV therapy has often been shown to lead to the resolution of early KS[3] and to prevent additional HIV-1-related complications should the patient's immunosuppression be greater than that reflected by his relatively high CD4+ cell count of 320 cells/mcL.

The patient's physicians were uniformly surprised by the fact that the patient had not undergone HIV-1 serologic testing prior to his KS diagnosis. We believed that his illness, which had become immediately life-threatening, might have been prevented had he been diagnosed and treated earlier. The patient was in a high-risk group for HIV infection and should have been tested in the past, particularly when he presented with herpes zoster 1 year earlier. The patient was intelligent and was in a long-term relationship with a partner known to be HIV-seronegative. He was not questioned as to why he had not undergone HIV-1 serologic testing earlier and did not undergo psychiatric evaluation. However, he did not appear to be clinically depressed or to deny his diagnosis. He appeared only to lack the initiative to find out on his own whether he was HIV-1-infected.

Nearly 300,000 persons with HIV in the United States are unaware of their infection. Moreover, among newly diagnosed persons in 2002, more than 40% were estimated to have an HIV-related complication or a CD4+ cell count < 200 cells/mcL within a year of diagnosis,[4] suggesting that diagnoses are often made after clinically significant immune dysfunction has occurred. Despite the potency of current ARV regimens, successful therapy is more likely to occur when treating persons with higher CD4+ cell counts. In 10% to 20% of persons beginning ARV therapy, CD4+ cell counts do not increase significantly despite complete virologic suppression.[5,6] Second, some HIV-related conditions often do not respond to ARV therapy (eg, progressive multifocal leukoencephalopathy [PML],[7] non-Hodgkin's lymphoma[8]) or may just be difficult to treat. Indeed the simultaneous treatment of HIV-1 infection and one or more of its complications is challenging, and the optimal timing of ARV therapy in this situation is still being defined.

A recent molecular epidemiologic study suggests that in some regions, recently infected persons may be responsible for up to 50% of ongoing HIV-1 transmission.[9] Therefore, earlier diagnosis benefits the public as well as the individual by leading to decreased transmission either through behavioral modification or ARV therapy. Moreover, increased screening has been shown by 2 recent studies to be highly cost-effective.[10,11] One of these studies noted that particularly among veterans, HIV diagnostic testing has been underutilized.[11]

As highly active antiretroviral therapy (HAART) has been refined, patients dying from HIV-1 infection have often been at 2 ends of the spectrum of ARV experience: (1) patients who have received ARV therapy for many years (usually dating back to the pre-HAART era) and harbor viruses with resistance to nearly all available ARVs; and (2) patients who develop HIV-related complications before they are able to benefit from ARV-associated immune reconstitution and clinical stabilization. Whereas valiant efforts are often made to prolong the life of persons in the first category, not enough is being done to identify and help those in the second category.

References

  1. Bower M, Nelson M, Young AM, et al. Immune reconstitution inflammatory syndrome associated with Kaposi's sarcoma. J Clin Oncol. 2005;23:5224-5228. Abstract
  2. Leidner RS, Aboulafia DM. Recrudescent Kaposi's Sarcoma After Initiation of HAART: A Manifestation of Immune Reconstitution Syndrome. AIDS Patient Care STDS. 2005;19:849-858.
  3. Stebbing J, Portsmouth S, Gazzard B. How does HAART lead to the resolution of Kaposi's sarcoma? J Antimicrob Chemother. 2003;51:1095-1098.
  4. Centers for Disease Control and Prevention. Cases of HIV/AIDS among persons age 13 and older, by year of diagnosis and transmission category, 2000 - 2003 - 33 areas with confidential name-based HIV infection reporting. HIV/AIDS Surveill Rep. 2005;15:1-46.
  5. Viard JP, Mocroft A, Chiesi A, et al. Influence of age on CD4 cell recovery in human immunodeficiency virus-infected patients receiving highly active antiretroviral therapy: evidence from the EuroSIDA study. J Infect Dis. 2001;183:1290-1294. Abstract
  6. Gandhi R, Chan E, Spritzler J, et al. Immunologic outcomes after antiretroviral therapy in HIV+ subjects in ACTG 384. Program and abstracts of the 12th Conference on Retroviruses and Opportunistic Infections; February 22-25, 2005; Boston, Massachusetts. Abstract 610.
  7. Wyen C, Hoffmann C, Schmeisser N, et al. Progressive multifocal leukencephalopathy in patients on highly active antiretroviral therapy: survival and risk factors of death. J Acquir Immune Defic Syndr. 2004;37:1263-1268. Abstract
  8. Yarchoan R, Tosato G, Little RF. Therapy insight: AIDS-related malignancies--the influence of antiviral therapy on pathogenesis and management. Nat Clin Pract Oncol. 2005;2:406-415; quiz 423.
  9. Brenner B, Roger M, Moisi D, et al. Transmission events within risk groups following primary HIV-1 infection (PHI) in Quebec (1998-2005). Antivir Ther. 2005;10:S125.
  10. Paltiel AD, Weinstein MC, Kimmel AD, et al. Expanded screening for HIV in the United States--an analysis of cost-effectiveness. N Engl J Med. 2005;352:586-595. Abstract
  11. Sanders GD, Bayoumi AM, Sundaram V, et al. Cost-effectiveness of screening for HIV in the era of highly active antiretroviral therapy. N Engl J Med. 2005;352:570-585. Abstract

Minghsun Liu, MD, PhD, Post-Doctoral Fellow, Division of Infectious Diseases, Stanford University Medical Center, Stanford, California

Mark Holodniy, MD, Professor, Division of Infectious Diseases, Stanford University Medical Center, Stanford, California

Andrew R. Zolopa, MD, Associate Professor, Division of Infectious Diseases, Stanford University Medical Center, Stanford, California

Robert W. Shafer, MD, Associate Professor, Division of Infectious Diseases, Stanford University Medical Center, Stanford, California

Disclosure: Minghsun Liu, MD, PhD, has disclosed no relevant financial relationships.

Disclosure: Mark Holodniy, MD, has disclosed no relevant financial relationships.

Disclosure: Andrew R. Zolopa, MD, has disclosed no relevant financial relationships..

Disclosure: Robert W. Shafer, MD, has disclosed no relevant financial relationships.